皇冠信用网在线注册_河南一老人做冠脉造影手术时一截导丝断在血管中!院方回应
世界杯皇冠信用网平台(www.hg0088.us)为您提供最新登1登2登3代理网址,包括新2登1登2登3代理手机网址,新2登1登2登3代理备用网址,皇冠登1登2登3代理最新网址,近日,来自河南汝州的高女士反映称,她的父亲在河南省胸科医院做冠脉造影手术时,手术所用导丝末端断裂,一截导丝被遗留在血管中皇冠信用网在线注册。“父亲原本就有血栓,担心随着父亲年龄增长,病情会加剧。”
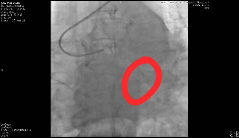
9月30日,涉事医院医患办公室工作人员告诉南都N视频记者,术后院方组织了相关科室会诊,判断回旋支指引导丝远段断裂,与患者回旋支弥漫性动脉硬化重度狭窄病变及钙化有关皇冠信用网在线注册。如果患者需要做医疗事故鉴定,院方将全力配合。目前仍在与该病人家属进行协商。

断裂的导丝皇冠信用网在线注册。受访者供图
病人家属:担心遗留导丝会加剧病情
高女士向南都记者介绍,其父亲今年62岁,去年因冠心病在河南省胸科医院做过支架植入手术皇冠信用网在线注册。今年9月2日,因感到胸闷,其父亲再次到该医院复查。
9月5日,高女士父亲在该医院做冠脉造影,手术进行了近3个小时皇冠信用网在线注册。高女士回忆说,手术结束后,负责手术的医生告诉她,“在微创探查体内的时候,一截导丝断裂。”当高女士询问能否再次实施手术取出时,医生表示因病患年纪较大,开胸手术存在危险,并没有取出的必要。但对于遗留导丝会否在后续造成长期影响,该医生则称“无法确定”。
高女士提供的病程记录显示,“手术操作过程中出现回撤导丝困难,送入微导管尝试至坎顿处未成功,退出微导管时远段导丝断裂,多途径尝试取出断裂导丝均未能成功皇冠信用网在线注册。”资料还指出,“通过复查造影,回旋支近段残余狭窄小于30%,未见明显夹层、无复流。”
南都记者留意到,该病程记录给出了心血管外科一病区会诊意见,称“回旋支内见离断的介入导丝,外科取出导丝意义不大,建议内科治疗”皇冠信用网在线注册。
高女士认为,父亲原本就有血栓,按照医院的说法,他的血管狭窄、钙化严重,其担心随着父亲年龄增长,情况会加剧皇冠信用网在线注册。她表示,目前有两个诉求,一是希望医院能给予一定金额的赔偿;二是由医院对接能做开胸手术的医院,必要情况下协助垫付一定费用。
涉事院方:可配合做相关医疗鉴定
9月30日,南都记者联系涉事医院医患办咨询,接线人员表示,目前已了解高女士的诉求,正积极与高女士进行协商皇冠信用网在线注册。
该名接线人员表示,该患者入院后,诊断冠心病、急性冠脉综合征,手术指征明确皇冠信用网在线注册。“术前已与患者及家属沟通病情,告知其冠脉造影及冠脉支架植入术的必要性及相关风险。”
这一说法可以在高女士提供的病程记录中得到印证皇冠信用网在线注册。相关记录显示,9月4日,手术医师进行查房,随后与患者及家属沟通病情,告知其冠脉造影及冠脉支架植入术的必要性及相关风险,其中提及,术后可能出现支架再狭窄或支架内血栓形成,可造成相关脏器急性缺血坏死或功能障碍,危及生命,以及导丝、导管、鞘管等术中所用材料断裂、打折等,必要时需要外科手术治疗。
该医患办工作人员向南都记者解释称,术后院方组织了相关科室会诊,判断回旋支指引导丝远段断裂,与患者回旋支弥漫性动脉硬化重度狭窄病变及钙化有关皇冠信用网在线注册。“如果患者需要做医疗事故鉴定,院方将全力配合。如果对方经济困难,医院愿意垫付费用做鉴定。”其还表示,医院将根据第三方相关鉴定,承担院方该承担的责任。
南都记者了解到,当前高女士向医院提出30万的索赔,院方认为索赔数目太高,建议走司法程序进行司法鉴定,以此明确医院的过错及比例,如果家属对血管里的导丝感到担心,医院可先补偿8000元皇冠信用网在线注册。
高女士表示,当前她已将诉求反映至省卫健委有关部门,正在进一步等候处理中皇冠信用网在线注册。
采写:南都N视频记者 林诗妍
猜你喜欢
- 38分钟前皇冠登3管理出租 _视频丨李成钢:中美就关税等多项议题形成初步共识
- 1天前皇冠信用网最高占成 _印度强硬表态:不接受、不屈服
- 2天前皇冠信用盘账号开通 _上海51岁丁克立遗嘱!“不请朋友或亲戚做监护人,不要考验人性”
- 2天前皇冠足球管理平台出租 _两人涉嫌切割小区23部电梯钢绳被刑拘:业主称事发时刚换物管,原物管公开信称“被迫退场”
- 3天前皇冠信用網会员开户 _(体育)体操——世锦赛:张清颖获女子个人全能季军
- 3天前皇冠登3代理 _现货黄金大跌后日内涨逾1%,摩根大通预计金价明年底冲上5055美元
- 3天前皇冠信用网结算日是哪天 _招商策略:四中全会公报有哪些要点?可能对市场有哪些影响?
- 4天前皇冠信用網开户 _欧冠-埃基蒂克反戈维尔茨两助攻 利物浦5-1法兰克福止4连败
- 4天前信用网怎么注册 _国足新帅终极悬念揭晓,52岁西班牙名帅1决定暗藏3重危机
- 4天前怎么开皇冠信用平台 _宇树IPO前再更名,去掉“杭州”二字,新引入三位独董,王兴兴不再兼任财务负责人
- 4天前皇冠信用网正网 _荷兰主动把电话打到北京,不认错也不归还中企管理权,中方寸步不让:必须拿出个交代
- 5天前皇冠信用网如何开户 _特朗普通告全球,不想摧毁中国,中方作出三大让步,美就刀下留人
- 6天前皇冠信用網出租代理 _特朗普亲自出马!不许中国参加会议,要把柬泰停火的功劳揽到自身?外交部第一时间回应,措辞不简单
- 6天前皇冠信用需要押金吗 _大学招聘现场出现露骨女主播海报,南昌大学:现场工作疏漏,深表歉意
- 7天前皇冠信用盘足球代理 _拉门斯的英超之夜:全场最多扑救与失误,评分6.8背后的故事
- 1周前皇冠信用网登3代理 _38岁活成BUG!梅西三射一传打崩对手,53场50球破纪录,3大奖稳了
- 1周前皇冠信用网代理注册 _陈伟霆何穗官宣生子:爸爸、妈妈还有他!
- 1周前皇冠登一登二登三区别 _吉利李书福之子坐镇的苏州项目,狂揽数亿元融资后被曝原地解散,发生了啥?
- 1周前皇冠皇冠代理平台 _海军83舰编队抵达泰国进行友好访问
- 1周前皇冠信用平台出租出售 _美财长威胁加码,对华征税500%!美国就差临门一脚,发现中国还把着一个命门
- 2周前皇冠信用在线开户 _去年出任巴中市委常委、常务副市长的李本勇,已转岗市人大
- 2周前皇冠信用網代理注册 _成都车祸后小米汽车直播间遭网暴,雷军抖音一月掉粉35万
- 2周前皇冠信用登2代理 _世预赛最新进展:非洲9个直通名额将落定 亚洲明日再定2席
- 2周前皇冠信用網代理申条件 _浙江男子把私家车停路边两年,一次也没去看过!如今要用车时傻眼:还能这样?


网友评论